5 Important Truths About a Gluten-Free Diet Without Celiac Kids
5 Important Truths About a Gluten-Free Diet Without Celiac Kids involve understanding how gluten affects children who do not have…
Lorem Ipsum is simply dummy text of the printing and typesetting industry. Lorem Ipsum has been the industry's standard dummy text ever since the 1500s, when an unknown printer took a galley.
5 Important Truths About a Gluten-Free Diet Without Celiac Kids involve understanding how gluten affects children who do not have…
Can you outgrow celiac disease is a common question among parents, but the scientific answer is a definitive no. Unlike…
Is a little gluten ok for celiac children to consume? The medical reality is that even a microscopic amount of…
Busting the Top 10 Myths About Celiac Disease in Children is essential for parents who want to ensure their kids…
Exploring new celiac disease treatments children might use in the future offers hope for a life beyond the strict limitations…
Gluten-free on a budget for families starts with prioritizing naturally gluten-free whole foods over expensive processed specialty items. Many parents…
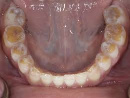
The Connection Between Celiac Disease and Dental Enamel Defects helps identify gluten issues early. Learn how malabsorption affects your child’s…
The gluten-free contamination elimination diet is a strict nutritional protocol designed to remove every possible trace of gluten from your…
Is gluten removed beer celiac safe for your teenager? This is a question many parents and Celiac teens grapple with…
Using products with gluten in cosmetics celiac kids encounter daily can lead to accidental ingestion and persistent health issues. While…